تحريض الإباضة لبرامج الإخصاب المساعد
يقصد به تحفيز المبايض لتكوين عدد كافي ونوعية جيدة من البويضات، ويتم ذلك بإعطاء حقن هرمونية خاصة ضمن برامج متعددة وتوفير الضبط اللازم للهرمونات (منع حدوث الإباضة مبكرة) مع المراقبة المستمرة بالإيكو المهبلي.
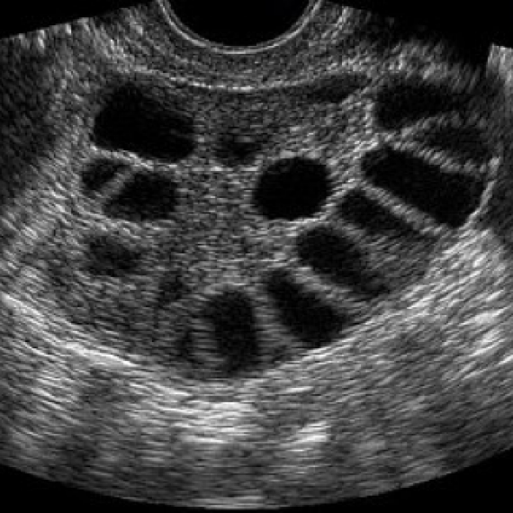
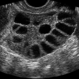
يعتبر أول يوم تلاحظ فيه الزوجة نزول الدم (سواء كان ذلك نهاراً أو ليلاً، قليلاً أو كثيراً، فاتحاً أو داكناً...) هو أول يوم في الدورة، بناءً على ذلك يجب الحضور إلى المشفى في هذا اليوم أو اليوم الذي يليه لإجراء فحص بالأمواج فوق الصوتية واحتمال إجراء بعض الفحوصات الهرمونية والبدء بالبرنامج المناسب لتحريض الإباضة.
تتضمن أدوية الإخصاب الشائعة والتي تستخدم لتحريض الإباضة ما يلي:
• سترات الكلوموفين (كلوميد): يمكن أن يستخدم هذا الدواء فموياً على شكل أقراص ويعمل على حصر مستقبلات الاستروجين، ويحرض هذا التأثير الصنعي المعاكس للأستروجين الجسم على إنتاج المزيد من FSH.
• بسبب تأثير الكلوموفين المعاكس للأستروجين قد يؤدي إلى الهبات الحارة، تبدلات المزاج، ونادراً ما يجعل بطانة الرحم رفيعة جداً مما يؤثر على نجاح التعشيش.
• لا يجب أن تستخدم سترات الكلوموفين لأكثر من أربع دورات ويجب إجراء المراقبة المشددة للتخفيف من المخاطر.
• قد تكون سترات الكلوموفين فعالة جداً عند النساء وتحت سن ال 35 والتي لا يحدث عندهن إباضة.
• تتوفر أدوية فعالة أخرى لإحداث الإباضة عند النساء فوق سن ال 35 حيث تكون هناك حاجة لنوعية أفضل وعدد أكبر من البيوض.
LH , FSH ) HMG , Menopur , Menogon) :
يستخدم هذا الدواء حقناً تحت الجلد ويتألف من مركب (LH , FSH ) ويستخدم عند النساء اللواتي لم يحدث لديهن إباضة أو حدث لديهن إباضة غير منتظمة أو عند الحاجة لزيادة عدد البيوض .
- وبسبب الاختلاف بالاستجابة لهذا الدواء فلا يوجد جرعة ثابتة موصى بها ولكن يفضل استخدام أقل جرعة ممكنة .
- يجب مراقبة النساء اللواتي يستخدمن هذا الدواء مخبرياً وبالأمواج فوق الصوتية لتقليل خطر حدوث فرط استجابة المبيض والحمل المتعدد وذلك لأنه أشد تحريضاً للإباضة من الأدوية الفموية .
- يستخدم هذا الدواء في حالات الحقن داخل الرحم وحالات الإخصاب المساعد خارج الجسم .
(FSH (Bravelle , Gonal – F :
تتوفر هذه الأدوية على شكل حقن فقط وغالباً تحت الجلد وتستخدم لتحريض إنتاج البيوض ونضجها خلال حلقة تحريض الإباضة يعتمد تحديد الجرعة على عدة عوامل منها :
- عمر المرأة .
- الوزن .
- الاستجابة السابقة .
تعتبر كل حالة سواء كانت جماع مؤقت أو حقن داخل الرحم أو إخصاب خارج الجسم مستقلة ويجب أن تراقب بشدة بتحليل مستوى الاستروجين وبالأمواج فوق الصوتية لتقليل احتمال الخطر ولتحديد زمن الإباضة بدقة .
(HCG (Ovitrille , Profasi , Pregnyl :
هو هرمون طبيعي يمكن أن يأخذه الشخص بنفسه حقناً تحت الجلد أو عضلياً ويعمل على تحقيق النضج النهائي للبيوض كما يحث المبيضين على إطلاق البيضة الناضجة (الإباضة ) .
كما يحرض ال HCG الجسم الأصفر في المبيض لإفراز البروجستيرون الذي يجهز بطانة الرحم من أجل تعشيش الجنين .
تحدث الإباضة (تمزق الجريب ) عادة بعد 36 ساعة من إعطاء ال HCG .
( Lupron , Decapeptyl ( GnRH , Synthetic :
هو حقن تحت الجلد تحرض مبدئياً ثم تثبط الإفراز الدماغي ل LH , FSH وتستخدم في الإخصاب المساعد خارج الجسم لتحسين عدد الجريبات وذلك بمنع الجريب الكبير من التطور .
- كما يستخدم ب (Lupron) لمنع حدوث الإباضة الباكرة وذلك بمنع تحرر ال LH أثناء تحريض الإباضة سواء بHMG أو FSH .
- تبدأ المعالجة ب( Lupron) عادة خلال النصف الثاني من الدورة قبل تحريض الإباضة من أجل الإخصاب المساعد خارج الجسم أي مايسمى البروتوكول الطويل أو ( Luteal Lupron Protocol ) .
- يجب معاييرة استروجين الدم والفحص بالإيكو عند البدء بتحريض الإباضة .
- في حال عدم توقع حدوث استجابة شديدة يعطى ال (Lupron) بجرعة أصغر من جرعة البروتوكول الطويل وذلك للاستفادة من تأثيره المحرض للأجربة المبيضية ، تعرف هذه الجرعة القليلة المحرضة للإباضة من ال (Lupron) ببروتوكول Micro flare .
GnRH antagonist :
يعطى تحت الجلد ويثبط بشكل فوري الإباضة ويعطى كجزء من بروتوكول Antagonist من أجل الإخصاب المساعد .
يعطى هذا العلاج مع تحريض الإباضة عند بلوغ الجريبات حجم 13 – 14 ملم .
ومثل باقي الأدوية المحرضة للإباضة يعطى من قبل أخصائيين بالعقم وتحت مراقبة مشددة .




