العقم الأنثوي
يعتبرالعقم عند النساء أو العقم عند الرجال ، أو عند كليهما، هو حالة منتشرة يعاني منها، وفق التقديرات، نحو 15% من الأزواج. يجري تعريف العقم على أنه عدم النجاح بتحقيق الحمل، رغم محاولة ذلك من خلال ممارسة النكاح الكامل، والمنتظم، بدون استخدام الوسائل الواقية للحمل على مدار سنة واحدة أو أكثر.
تنجم نحو ثلث حالات العقم عن اضطرابات لدى النساء، والثلث الثاني، نتيجة اضطرابات لدى الرجل، بينما في الثلث الأخير من الحالات يكون الاضطراب لدى الطرفين، أو أن سبب عدم النجاح بالإنجاب لا يكون معروفا إطلاقا.
من الممكن أن يكون سبب العقم عند النساء غير قابل للتشخيص، لكن هناك الكثير من العلاجات للاضطرابات المختلفة. ولا يكون العلاج ضروريا، دائماً، لأن نحو نصف الأزواج الذين يعانون من العقم (أو نقص الخصوبة)، ينجحون بالإنجاب بعد سنتين من المحاولة.
تعريف العقم: هو استمرار الحياة الزوجية لمدة سنة على الاقل دون حصول الحمل، ويعتبر العقم من المشاكل الواسعة الانتشار في العالم وهي حقيقةً تُواجه الزوجين حيث تكون الاسباب اما من أحد الزوجين او كلاهما.
اسباب العقم عند االنساء:
قبل البد في سرد الاسباب والدخول في تفاصيلها نود الاشارة بان التجارب اثبتت انه كلما زاد عمر المرأة كلما قلت نسبة حدوث الحمل.
تعتبر عملية تكوين الجنين (الإخصاب) عملية معقدة ومدهشة تحتاج لالتقاء الحيوان المنوي القادم من عند الرجل، بخلية البويضة القادمة من عند المرأة، وذلك من أجل إنتاج الخلية المخصبة الأولى، التي تشكل اتحادهما، والتي سينمو منها الجنين. هذه العملية تتطلب أن تخرج البويضة من جريب المبيض (Ovarian follicle) إلى قناة فالوب (Fallopian tubes) عبر عملية معروفة باسم الإباضة، طبعا إلى جانب الحاجة لإنتاج حيوانات منوية سليمة لدى الرجل.
لدى 25 بالمائة من الأزواج، هنالك مشكلة بعملية الإباضة لدى المرأة. قد تكون هذه المشكلة متعلقة بطول المحور المسؤول عن عملية الإباضة، ابتداء من الوطاء (Hypothalamus) ، مرورا بالغدة النخامية (Pituitary gland)، وصولا لاضطرابات بالمبيض نفسه.
- قد يسبب الاضطراب إفراز هورمونات LH وFSH في الغدة النخامية لعدم انتظام عملية الإباضة أو حتى لإباضة غير سليمة تتمثل بعدم انتظام الدورة الشهرية ونزيفها. كذلك، من الممكن أن يؤدي الوزن المنخفض بشكل كبير، أو الوزن الزائد جدا، أو حتى الارتفاع أو الانخفاض المفاجئ والكبير بالوزن لانعدام التوازن بمستويات الهورمونات المذكورة. ثم أن الضغط النفسي والتوتر الشديد قد يؤديان هما أيضا لاضطرابات بعملية الإباضة.
- متلازمة تكيّس المبايض (Polycystic ovary syndrome) – يحدث في هذه المتلازمة تغيير بعدة عناصر في المنظومة الهورمونية. وتؤدي هذه التغييرات لارتفاع مستويات الهورمونات الذكرية والمساس بعملية الإباضة.
- خلل في تطور "الجسم الأصفر" (Luteal phase) – عندما لا يفرز المبيض كمية كافية من البروجيستيرون (Progesterone) بعد الإباضة، لا يكون الرحم قادرا على استقبال البويضة المخصبة، ولذلك لا يتاح تقدم الحمل.
- فشل مبيضي مبكر – يدور الحديث هنا عن مرض ذاتي المناعة يسبب الضرر للمبيضين مما يؤدي لعدم حصول عملية الإباضة، وكذلك لانخفاض مستويات الأستروجين في الجسم.
من اسباب العقم عند النساء الأخرى، انسداد قنوات فالوب التي تلعب دور الوسيط الموصل بين المبيضين اللذين ينتجان البويضات، وبين الرحم الذي يفترض أن يستقبل البويضة المخصبة. من الممكن أن يحصل هذا الانسداد في أعقاب التعرض لتلوث، حمل منتبذ (خارج الرحم) في القناة نفسها أو عمليات جراحية تم إجراؤها هناك وتسببت ببعض الالتصاقات. كذلك، من الممكن أن يحصل الانسداد في عنق الرحم نتيجة لانسداد ميكانيكي ناتج عن بنية غير سليمة لعنق الرحم أو انسداد كيميائي يتمثل بعدم إفراز المادة المخاطية التي من المفترض أن تساعد الحيوانات المنوية على الحركة، بصورة سليمة.
اسباب مهبلية
انسداد المهبل يمنع ادخال العضو الذكري بالمهبل كما في حالات عدم فض عشاء البكارة، اذا كان غشاء البكارة سميك جدا وكذلك في حالات ضيق المهبل الشديد. والتهابات موجعة في جدار المهبل تمنع حدوث الجماع.
اسباب تتعلق بعنق الرحم:
- الخزعة المخروطية من عنق لرحم او علاج عنق الرحم بالليزر او بالكي الشديد والزائد عن اللازم. ان قلة المخاط في عنق الرحم يعيق مرور الحيوان المنوي، وقد تكون المادة المخاطية في بعض الاحيان كثيفة الى الدرجة التي تمنع مرور الحيوان المنوي.
- وجود اجسام مضادة تعمل على قتل الحيوانات المنوية، حيث ان عنق الرحم اكثر الاجزاء التناسلية قدرة على انتاج الاجسام المضادة.
- في حالات انسداد عنق الرحم (حالات قليلة جدا)
اسباب تتعلق بالرحم:
التشوهات الخلقية:
وهي مختلفة، اغلبها يسبب الاجهاض وبعضها يؤثر على القدرة على الانجاب، وبعضها يمكن اصلاحه جراحيا مثل وجود حاجز في تجويف الرحم، ويمكن معالجته بإزالة هذا الحاجز بواسطة جهاز تنظير باطن الرحم. وعندما يكون الرحم ذا قرنين يمكن ان يحتاج الى عملية جراحية لإصلاحه، وهنالك ايضا الرحم ذو القرن الاضافي وتتعرض السيدة التي رحمها من هذا النوع احيانا على احتمال حدوث الحمل خارج الرحم اي في القرن الاضافي اما الرحم على شكل -T- فيمكن ان يؤدي الى تأخر الانجاب او الاسقاط (الاجهاض). وبشكل عام فان هذه التشوهات الخلقية تكون مصحوبة عادة بتشوه بإحدى قناتي فالوب او كِلْتَيهما.
التصاقات داخل الرحم:
تتكون فيها التصاقات داخل الرحم اما بعد تكرار عملية التجريف او التهاب شديد في الرحم او جرح ناتج عن استئصال ورم ليفي سابق، وتشكو بعض النساء في هذه الحالة من ان الدورة الشهرية قليلة ويظهر هذا بوضوح عند اجراء صورة ملونة للرحم، وتحتاج هذه الالتصاقات لإزالتها الى جهاز تنظير باطن الرحم وقد يضطر الطبيب لإعادة العملية اكثر من مرة واعطاء بعض الادوية مثل Steroids مع هرمون الاستروجين لمدة 3 اسابيع بعد العملية لكي لا تعود الالتصاقات الى حالتها السابقة، وعلى كلٍ فان تكملة العلاج بعد ازالة الالتصاقات يرجع اولا واخيرا للطبيب المعالج.
الأورام الليفية:
وهو ورم في عضلة الرحم قد يسبب نتوءً في تجويف الرحم حسب موقعه، وهو عادةً لا يسبب العقم الا اذا اثر بشكل كبير على تجويف الرحم، او اذا كانت هناك اورام ليفية كثيرة، واذا لم يوجد هناك سبب اخر للعقم، ففي هذه الحالة ينصح بإجراء عملية جراحية لإزالة تلك الاورام ومحاولة اصلاح شكل الرحم. وهناك طرق متعددة لعلاجها، منها بواسطة جهاز تنظيم الرحم، او اجراء عملية فتح بطن واستئصالها، ويتوخى الطبيب المعالج الحذر عادة في هذه الحالات لكيلا تحدث الالتصاقات بعد العملية.
وجود زوائد لحمية أو بوليبات (سلائل) في بطانة الرحم :
ووجودها قد يشابه وجود لولب في الرحم والذي يعيق الرحم، واستئصالها سهل. ويُمكن تشخيصها عن طريق اشعة الرحم الملونة او جهاز تنظير باطن الرحم.
العضال الرحمي الغدي Adenomyosis:
وهي حالة يتضخم فيها الرحم وتشكو السيدة من الم في الدورة الشهرية، وقد تشخص الحالة عن طريق اشعة الرحم الملونة والعلاج في هذه الحالة صعب وقد تفيد بعض العلاجات الهرمونية مثل (GN RH) Analogues).
اسباب تتعلق بقناة فالوب:
الالتهابات المزمنة:
حيث تسبب احتقان القناتين واذا بلغ المقطع العرضي للاحتقان اكثر من 3 سم فانه يُغلق القناة ويمنع مرور البويضة، كذلك تسبب الالتهابات المزمنة الالتصاقات، حيث تؤثر على حركة القناتين وتبطؤها وهذا يعمل على عدم وصول البويضة في الوقت المناسب لعملية الاخصاب، وقد تؤثر الالتصاقات على عمل المبيضين خصوصا اذا كانت الالتصاقات شديدة.
انّ هذه الالتهابات قد تسبب انسدادا في قناة فالوب او حدوث التصاقات مما يؤدي الى اضطراب في التقاط البويضة من قبل قناة فالوب او في حركة البويضة المخصبة داخل انبوب الرحم.
ان التهابات منطقة الحوض المزمنة قد يكون سببه جرثوميا مثل Streptococcus & E.coli او بعض الامراض التناسلية التي تنتقل عن طريق الجماع مثل مرض السيلان والكلاميديا او عن مرض السل . ويجب الملاحظة انّ مرض التهابات منطقة الحوض المزمنة قد يؤثر على المبيض ويؤدي الى الارتباك في وظيفته، وخصوصا عندما يسبب التصاقات وتكون التصاقات شديدة وإذا ادت الالتهابات المزمنة الى تلف في قناة فالوب فالمعالجة تكون جراحية عادة وتعتمد على درجة التلف ومنطقة التلف.
تلف نهاية القناتين (الاهداب):
وهذا يُسبب فشلها من جلب البويضة الى داخل القناة ويمكن ان يكون هذا ناتجا عن:
- التهابات او عن مرض البطانة الرحمية.
- الالتصاقات نتيجة العمل الجراحي لإحدى القناتين:
- نتيجة الحمل خارج الرحم:
- نتيجة جراحة لأعضاء الحوض المجاورة او نتيجة التهابات في الاعضاء المجاورة مثل التهاب الزائدة الدودية.
- قصر القناتين: اقل من 4 سم.
- اورام تصيب قناتا فالوب او المبيض وتؤثر على عمل قناتا فالوب.
خلل في وظيفة المبيض:
نتيجة مرض المبيض التعدد الكيسات.
فشل المبيض في عمله الطبيعي للأسباب التالية:
خلل في الجينات والكر وموسومات :
- في حالات عدم تكون المبيضين .
- في حالات تسارع فقد البويضات لاسباب وراثية.
- في حالات حدوث انتهاء عمل المبيض المبكر نتيجة خلل وراثي .
- خلل في الكر وموسومات مثال 47XXX .
خلل خلقي في الانزيمات :
- 17a- Hydroxylase Deficiency
- Galactosemia
التعرض لمؤثرات معينة:
- التعرض للاشعاع بكميات كبيرة.
- التعرض لمواد كيماوية مثال التي تستعمل في علاج السرطانات .
- فيروسات مثل النكاف .
- التدخين بكميات كبيرة.
اسباب تتعلق بجهاز المناعة.
وجود مضادات للمبيض.
انعدام او خلل في مستقبلات هرمونات F.S.H, L.H في المبيض .
اسباب غير معروفة .
استئصال المبيض جراحيا لسبب او لأخر.
خلل في عمل الغدة النخامية.
خلل في عمل الوطاء
مرض يصيب السيدات يدعى داء البطانة الرحمية الهاجرة
وهو عبارة عن ظهور انسجة بطانة الرحم في مناطق خارج تجويف البطن مثل المبيض الامعاء ...الخ.
اسباب مجهولة
تشخيص العقم عند النساء
إذا مضى وقت طويل ولم يستطع الزوجان الإنجاب، يجب عليهما استيضاح السبب الذي يعيق ذلك. ويتضمن هذا الاستيضاح:
- فحص إباضة – هذا الفحص يختبر مستوى الهورمونات في الدم. وهو قادر على تشخيص الارتفاعات الحادة بمستويات هورمون الـ LH الذي يشير إلى عملية الإباضة. يمكن إجراء هذا الفحص بواسطة طقم للاستخدام البيتي يتم اقتناؤه من الصيدلية دون الحاجة لوصفة طبيب. كذلك، بالإمكان إجراء فحص الهورمونات من خلال فحص دم يهدف لاختبار مجموعة واسعة من الهورمونات في مختلف الأوضاع.
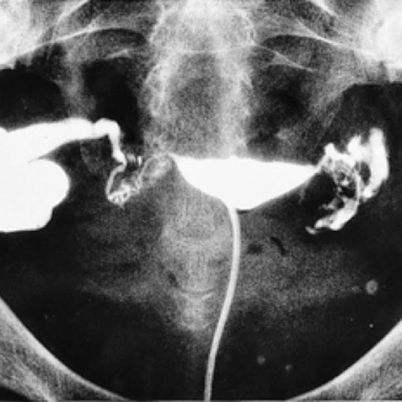
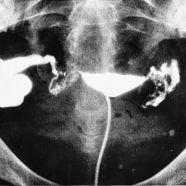
- تصوير الرحم والبوق (Hysterosalpingography) – خلال هذا الفحص، يتم إدخال مادة يمكن تمييزها بواسطة التصوير، إلى عنق الرحم. من خلال الصورة، من الممكن رؤية مبنى الرحم وقنوات فالوب وتشخيص العيوب البنيوية والتشريحية المختلفة التي تعيق حدوث الحمل.
- تنظير البطن (Laparoscopy) – خلال هذا الفحص يتم عمل فتحة في جدار البطن، تحت التخدير الكلي، ومن ثم يتم إدخال كاميرا إلى داخل التجويف البطني عبر هذه الفتحة. من خلال هذا الفحص، يمكن رؤية مبنى الرحم، قنوات فالوب والمبيضين.
علاج العقم عند النساء
من الطبيعي أن تتم ملاءمة علاج العقم عند النساء للمسبب الرئيسي للحالة. ومن الممكن أن يكون هذا العلاج علاجا أحادي العقار (باستخدام نوع دواء واحد) أو علاجا متعدد العقاقير، اعتمادا على صعوبة المشكلة.
- الإباضة – لدى النساء اللاتي يعانين من انعدام أو عدم انتظام عملية الإباضة، هنالك بعض العلاجات التي تعيد تنظيم النشاط الهورموني الذي يؤدي لعملية إباضة سليمة. الأدوية المستخدمة من أجل هذه العملية هي: الكلوميفين سيترات (CLOMIPHENE CITRATE) الذي يحفز عملية إفراز الهورمونات من الغدة النخامية، أدوية تزيد من نشاط هورمونات الغدة النخامية، الـ FSH والـ LH و (Metformin) الذي يستخدم عادة من أجل علاج مرض السكري، إلا أن تأثيره المتمثل بتقليل مقاومة الأنسولين ضروري وحيوي من أجل عملية إباضة سليمة. من المهم الإشارة إلى أن لهذه الأدوية أعراض جانبية تتمثل بازدياد احتمال حدوث حالات من الحمل المتعدد الأجنة وانتفاخ المبيضين إلى درجة الشعور بالألم والأعراض في الجهاز الهضمي.
- العلاجات الجراحية – عند وجود انسداد ميكانيكي في أي جزء من أجزاء الجهاز التناسلي الذي يشمل عنق الرحم، الرحم وقنوات فالوب، تكون هنالك حاجة لإجراء جراحي من أجل إعادة القدرة على الإنجاب.
- التخصيب المخبري (الأنابيب) – في الحالات التي لا تستطيع العلاجات العادية المساعدة فيها، ويكون الزوجان معنيين بإجراء عملية تلقيح خارجية (أنابيب) – (IVF) يتم أخذ بويضة من المرأة، ومن ثم عينة من الحيوانات المنوية من الرجل، ثم تتم عملية تخصيب خارجية في المختبر، بعدها يجري إعادة البويضة المخصبة إلى رحم الأم لتتابع نموها هناك.
الوقاية من العقم عند النساء
من أجل منع حدوث حالة عقم النساء، يجب الامتناع عن التدخين، الامتناع عن تناول كميات كبيرة من الكافيين والكحول، الامتناع عن الوقوع تحت تأثير الضغط النفسي والمحافظة على وزن معقول في الحدود الطبيعية.




