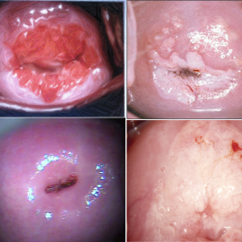
تنظير عنق الرحم المكبر
حيث يتم كشف الأسباب العنق رحمية للعقم، إضافة إلى الكشف الباكر للآفات الالتهابية ولتنشؤيه، كل ذلك باستخدام جهاز Video Colposcopy والذي يساعد أيضاً على أخذ الخزعات الموجهة واللطخات الدورية من عنق الرحم للتمكن من التدبير الصحيح لتلك الآفات. إضافة إلى توفر جهاز الكي بالتبريد Cryo وذلك لمعالجة تقرحات عنق الرحم والالتهابات المعندة دون ألم.




