عيادة الخصوبة

تشخيص ومعالجة العقم الأنثوي

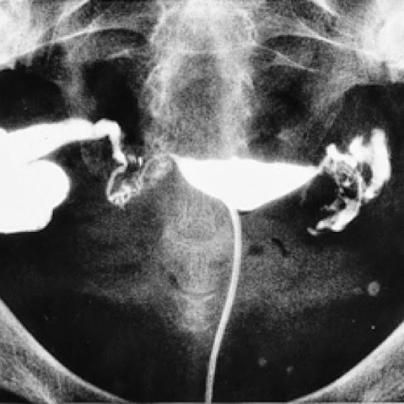
حيث تستخدم أحدث التقنيات والاستقصاءات السريرية والمخبرية والشعاعية المساعدة على تشخيص سبب العقم أو نقص الخصوبة، وبالتالي التمكن من المعالجة الطبية لتلك الحالات، أو تحضيرها للمعالجة الجراحية أو التنظيرية، أو إدراجها ضمن برامج الإخصاب المساعدة على الحمل.


مشاركة :